为何出现楔状缺损?
的有关信息介绍如下:据报道:湖北的杨大伯是一名退休职工,每天坚持早晚刷牙,每次至少刷3到5分钟,这个习惯一直保持至今。然而,近几年他时常出现牙疼、牙齿松动,先后掉了十几颗牙。
为何坚持刷牙牙齿还会一颗一颗地掉了呢?医生经过一番检查,发现杨大伯不少牙釉质和牙龈交接处,都有较明显的横槽。而这种横槽就是“楔状缺损”

为何出现楔状缺损?
原来是横向刷牙惹的祸!横着刷牙特别是横着使劲刷牙,时间长了,易造成牙齿颈部的楔状缺损损害,牙齿表面刷出一道道槽沟,进而形成牙髓炎、牙疼、牙变色、牙变死等。此外,酸、细菌、挤压的作用,也会造成牙齿“楔状缺损”。
楔状缺损该如何治疗?
症状较轻者:
对于组织缺损较少且无酸痛症状者,局部不需要特殊处理。但要避免横刷,并选用较软的牙刷和磨料较细的牙膏。

缺损较重者:
可选用与牙齿颜色近似又有一定粘接性的复合树脂或玻璃离子粘固粉等将楔状缺损补好,以防继续发展。
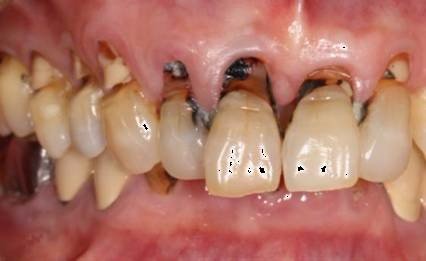
重度缺损者:
重度缺损而引起牙髓炎、根尖炎的患者,要及时进行治疗。对于牙折者,根面好的行根管治疗后,作接冠术、桩冠或拔牙。

建议:不要横着刷牙,如果这习惯请立即纠正过来~



